|
6月20日,玉溪市人民医院肾内科联合B超室,在超声引导下,成功开展我市首例超声引导下“内瘘血管狭窄球囊扩张成型术(PTA)”。该技术是通过患者皮肤表面穿刺內瘘血管,送入球囊扩张导管,在超声引导下对血管的狭窄部位进行扩张,矫正狭窄部位,恢复正常血管内径,从而达到延长患者动静脉內瘘使用寿命的目的。

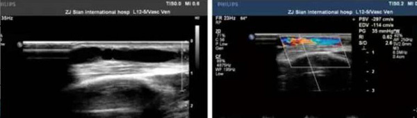
患者为通海县一名维持性血液透析患者,自体动静脉内瘘术后一年,近期透析时内瘘血管血流量明显不足(<200ml/min),故转诊我院肾内科。经CT血管造影术(CTA)检查发现左上肢动静脉内瘘血管头静脉段重度狭窄。术前经副主任孙阳及科室血管通路小组医护团队评估讨论,积极与B超室周宏伟主任沟通,于6月20日在B超引导下顺利进行了“内瘘血管狭窄球囊扩张成型术(PTA)”。该手术由周宏伟主任负责B超引导,肾内科卢永新主治医师负责操作,手术耗时一小时,内瘘血管狭窄段在球囊扩张下逐渐复张,术后B超评估显示狭窄段血管扩张良好,查体内瘘血管杂音及震颤明显增强,术后第二天使用内瘘血管行血透治疗,血流量达230ml/min以上,使用效果满意。

术前

术后
血管通路是血透患者的生命线,充足的血流是血透治疗顺利、有效进行的根本保障。内瘘血管狭窄是维持性血液净化治疗患者最常见的并发症。超声引导下“动静脉内瘘狭窄球囊扩张术(PTA)”克服了数字剪影血管造影介入(DSA)的一些不足,无辐射伤害、无需造影剂、对设备和场所要求较低,有操作时间短、效果可靠、术后并发症较少、费用相对较低等优势。此例B超引导下“内瘘血管狭窄球囊扩张成型术(PTA)”开创了我市新记录,这项新技术将为内瘘血管狭窄患者治疗提供了新的治疗选择!给尿毒症透析患者带来了福音!(通讯员: 肾内科 晋静 卢永新) |