|
7月1日,玉溪市人民医院院心内科为一名92岁高龄房颤患者顺利实施了脉冲消融+左心耳封堵一站式手术,老人术后康复良好,即将出院回家。

曹大爷最近常常感到心慌、胸闷,经医生诊断为心律失常、频发房性早搏、阵发性心房颤动。因为曹大爷年龄较大,所以医生首先建议使用抗凝药物预防脑梗塞加上抗心律失常药物减少房颤发作的治疗方案。但曹大爷服用药物以后治疗效果并不理想,首先服用的利伐沙班抗凝出现了严重流鼻血,不得不停用抗凝药物;另外一方面,使用抗心律失常药物以后虽然心慌减轻了一些,但是由于心率减慢,头昏症状加重,而且出现了黑矇。
恰好这个时期,玉溪市人民医院心内科团队在郝应禄教授带领下在我国西南地区率先开展了心房颤动脉冲消融治疗。脉冲消融与传统的射频消融相比,手术时间短、病人疼痛感轻微、安全性高,因此,心内科医生团队在经过认真分析讨论后,建议患者进行脉冲消融治疗心房颤动,同时进行左心耳封堵手术。这样不仅解决了患者心律失常带来的症状,长远来讲,进行左心耳封堵避免了长期服用抗凝药物不可避免的出血风险。
手术在局麻下实施,患者在完全清醒的状态下完成了手术。心内科分别使用了两套不同的介入治疗辅助系统完成手术。首先在脉冲消融系统下进行了房颤消融,然后再使用心腔内超声+Carto三维标测系统进行左心耳封堵。据了解,房颤脉冲消融+左心耳封堵这样的一站式手术,在国内目前没有看到相关报道。

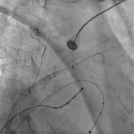
左心耳造影

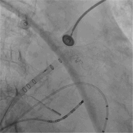
左心耳封堵后造影

超声下显示左心耳完全封堵
高龄房颤患者脉冲消融+左心耳封堵一站式手术的顺利完全,不仅标志着我院心内科介入团队技术水平迈上一个新的台阶,同时也为高龄房颤患者探索出了一条安全且有效的治疗之路,为房颤介入治疗提供了更多的选择。
心内科/杨明
编辑/董国清 |