|
随着人们生活水平的不断提高,生活作息不规律,学习和工作压力不断增大,等各种现实因素的影响越来越多的人深受痤疮疾病的困扰,发病年龄也呈年轻化趋势,还在上小学的小朋友就面临着痤疮的考验。因痤疮发病诱因多、病程长、具有损容性、影响心里健康等原因越来越受社会和个人的关注。
让我们先了解下痤疮的发病机制,以便能正确引导大家少走弯路,提前做好战痘准备。痤疮的发病主要与雄激素、皮脂分泌增多、毛囊口上皮异常角化、痤疮丙酸杆菌感染免疫及内分泌功能障碍等因素相关。此外,重型痤疮的发生还与遗传因素有关。
临床表现
1.好发于青春期男女。
2.皮损好发于脂溢部位,如面颊、额部,其次是胸部、背部及肩部,多对称分布。
3.初发损害为粉刺,包括白头粉刺(闭合性粉刺)及黑头粉刺,皮损加重可形成炎症性丘疹,顶端可有小脓疱;继续发展可形成大小不等的暗红色结节或囊肿,挤压可有波动感,经久不愈可形成脓肿,破溃后形成窦道和瘢痕。
4.本病一般无自觉症状,炎症明显时可有疼痛。
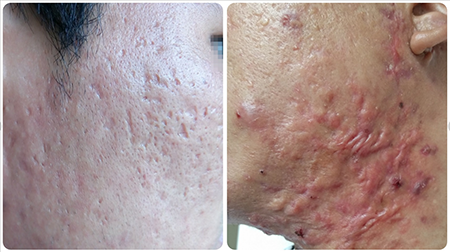
5.病程慢性,时轻时重,部分患者至中年期病情逐渐缓解,可遗留色素沉着、凹陷性或增生性瘢痕。

痤疮后凹陷性疤痕 增生性疤痕
6.除寻常性痤疮外,尚有许多特殊类型,如表现为严重的结节、囊肿、窦道、瘢痕的聚合性痤疮;由雄激素、糖皮质激素、卤素等所致的药物性痤疮;接触石油、焦油、氯化烃等所致的职业性痤疮;婴儿期由于母本雄激素在胎儿期进入体内引起的新生儿痤疮;与月经密切相关的月经前痤疮。
临床表现
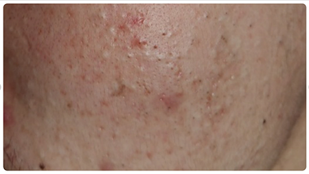
Ⅰ度:黑头粉刺,散发至多发,炎症性丘疹散发

闭合性粉刺
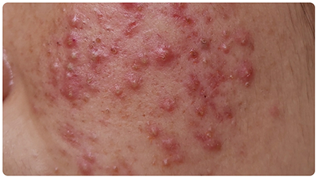
Ⅱ度:Ⅰ度+浅在性脓疱,炎症性丘疹数目多,限于画部

粉刺、脓疱、炎性丘疹
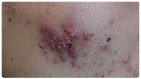
Ⅲ度 Ⅱ度+深在性炎症性丘疹,发生在面、颈及胸背部

深在炎性丘疹
Ⅳ度:Ⅲ度+囊肿、结节,易形成瘢痕,发生于上半身

囊肿、结节
治疗原则
溶解角质、控油、杀菌、消炎、恢复皮肤屏障及调节激素水平。
1.做好日常护理 规律作息,保证睡眠。使用控油、保湿类医学护肤品恢复皮肤屏障。避免挤压,少食辛辣、油腻、糖类食物,多食新鲜果蔬保持良好的消化功能。
2.外用药物 在医生的指导下局部使用维A酸类制剂,1%阿达帕林,5%过氧化苯甲酰凝胶等。
3.口服药物 抗生素抑制痤疮丙酸杆菌,维A酸类调节毛囊角化过程、抗炎、同时抑制痤疮丙酸杆菌是目前治疗最有效的方法。雌激素类药物具有抗雄激素作用可减少皮脂分泌,糖皮质激素仅用于严重结节性、囊肿性及聚合性痤疮患者,也可少量局部注射皮损。
4.物理治疗 粉刺清除、强脉冲光、蓝光、黄光、光动力、果酸换肤。
5.美容修复治疗 对于痤疮后的痘印、痘坑,可采用滚针、黄金微针、强脉冲光、点阵激光等方法进一步改善痤疮预后。
痤疮发病率高,需正确、规律、系统化的全称治疗以便取得最好疗效。遇到疑惑请不要自行处理,第一时间前往医院接受皮肤美容科医师规范化治疗,以免耽误病情及引起不必要的损伤。玉溪市人民医院皮肤科一直是您及家人最好的健康保障,欢迎大家随时就诊咨询。
就诊科室:玉溪市人民医院皮肤科
就诊地点:玉兴路与九曲巷交叉口
咨询电话:15758003813 |