|
陆女士今年57岁,近3年来因右手大拇指掌侧根部疼痛,连平日吃饭拿筷子、开个瓶盖都会觉得使不上劲,被确诊为“第一腕掌关节骨关节炎并脱位”,在玉溪市人民医院骨外三科手术后得以康复。
陆女士说,之前到多家医院就诊,医生建议她进行手术治疗,但因多种原因,自己一直不敢做手术。直到最近一年来,症状加重,疼痛愈发明显,不仅不能做家务,就连上完卫生间提裤子都受限制。既苦恼又无奈的陆女士听说玉溪市人民医院骨外三科是专业的手外科,才下定决心到骨外三科行手术治疗。陆女士手术顺利,已出院并在康复中。
今天,就给大家讲讲“第一腕掌关节骨关节炎”,到底要不要手术治疗?
1、什么是第一腕掌关节骨关节炎?
第一腕掌关节骨关节炎是一种骨关节的退行性病变,多发生于50岁以上人群,女性发病率高于男性。

第一腕掌关节骨性关节炎伴腕掌关节桡背侧半脱位,导致拇指内收畸形、拇指掌指关节过伸畸形
其发病的原理是骨关节蜕变后,关节软骨磨损,导致关节间隙变小。当拇指活动时,上关节面(第一掌骨基底)与下关节面(大多角骨远端)产生磨擦,进而出现疼痛、活动受限和拇指畸形等一系列临床症状。

第一腕掌关节骨性关节炎X线影像学改变
第一腕掌关节特殊的结构,使拇指可以与其他手指分开,单独发挥功能,拇指不但可以完成基本的屈伸动作,还可以与其他手指协同完成抓握、对捏等复杂动作。
拇指完成对捏这个动作时,如果指端捏力为1Kg,这个力传导至第一腕掌关节时,往往是指端捏力的10倍以上,关节每天承受如此“繁重负荷”,很容易发生骨关节炎。
2、第一腕掌关节骨关节炎有什么样的症状?
第一腕掌关节处疼痛、肿胀,拇指活动明显受限。拇指活动时疼痛加剧,尤其是在捏握物体时。日常生活中一些简单的动作可以引起第一腕掌关节的疼痛,比如拿筷子、拧毛巾、开瓶盖、提裤子等。伴随着病情的进展,第一腕掌关节发生半脱位,拇指会出现进一步内收,虎口不能张开。为了代偿拇指功能,会出现拇指掌指关节过伸畸形。
3、如何确诊第一腕掌关节骨性关节炎?
医生查体+X线检查,即可确诊。医生查体:第一腕掌关节处压痛明显,第一腕掌关节研磨实验阳性。
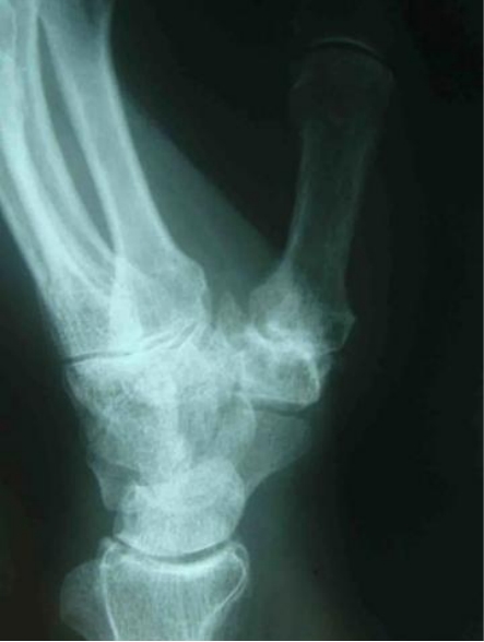
X线表现:早期可无明显变化,随病情进展,出现典型的骨关节炎表现,关节间隙不对称性狭窄,软骨下骨硬化、囊性变,骨赘形成、骨端相对增大,以及第一腕掌关节的桡背侧半脱位。

第一腕掌关节骨性关节炎Ⅲ期影像学改变

第一腕掌关节骨性关节炎Ⅲ期影像学改变
4、第一腕掌关节骨关节炎一定要手术治疗吗?
不是的!临床症状较轻,患者自认为对生活影响不大,可以先保守治疗。
5、保守治疗都包括什么?
减少诱发第一掌指关节疼痛的动作。局部理疗,有助于缓解疼痛。佩戴支具,维持腕掌关节稳定性,有助于减轻症状和缓解病情进展。疼痛部位可涂扶他林软膏等,并可以口服非甾体类的消炎止痛药物。
6、什么情况须考虑手术治疗?
经过3个月保守治疗效果不明显或症状持续加重。局部疼痛明显,拇指功能严重受限,关节畸形。显著影响生活和工作质量。
专家推荐:

马绍华 副主任医师 医学硕士 副主任
门诊时间:星期一下午、星期三下午
擅长骨创伤、手足外科疾病的诊治,能进行四肢创伤修复功能重建、周围神经损伤、运动医学等手术治疗。

刘阳 副主任医师
门诊时间:星期四上午
擅长骨创伤、手足外科疾病的诊治,能进行四肢创伤修复功能重建、周围神经损伤、运动医学等手术治疗。

饶磊 主治医师
门诊时间:星期一上午、星期四下午
擅长骨创伤、手足外科疾病的诊治,能进行四肢创伤修复功能重建、周围神经损伤、运动医学等手术治疗。
骨外三科/马绍华 |