|
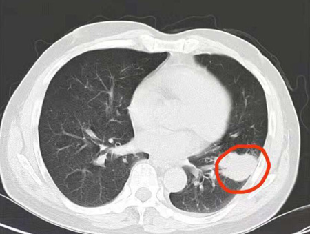
患者高先生因“反复咳嗽,体检发现肺占位1月余”入住玉溪市人民医院心胸外科。经检查,CT提示患者“左肺下叶团块状软组织密度影(约3.0×3.6cm),考虑周围型肺Ca可能性大”。心胸外科李轶峰医师在对高先生进行了详细的病情检查后,建议患者进行微创胸腔镜手术治疗。这种手术需要在侧胸壁开一个6cm小口即可完成,而且能整切除病灶、清扫淋巴结,不但切口美观、损伤较小,术后恢复较快、疼痛轻。

10月25日,高先生的手术顺利完成。主刀的李轶峰医师在患者左侧胸部顺利切除了左肺下叶,清扫5、7、8、9、10组淋巴结,期间患者出血仅50毫升。术后第二天,高先生就开始下床活动,效果满意、恢复良好。

术前

术后
据悉,本例手术为玉溪市人民医院心胸外科首例独立自主完成的单孔胸腔镜肺叶切除术加系统淋巴结清扫术。单孔胸腔镜手术是目前胸外科主流技术,在国内领先胸外科中心已广泛开展,安全性、有效性已得到普遍认可。但单孔技术对术者要求较高、操作难度大,目前心胸外科已顺利开展多例单孔胸腔镜手术,并且单孔胸腔镜手术,已经作为心胸外科常规手术开展,也标志心胸外科水平又迈入了新台阶。
(心胸外科 刘超) |