|
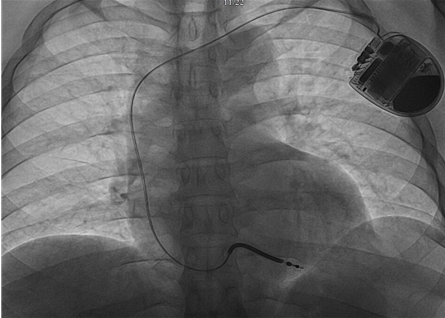
2023年5月18日,玉溪市人民医院院长、心内科专家郝应禄教授带领心内科起搏电生理团队,顺利植入玉溪首例3.0T MRI兼容植入式心律转复除颤器(ICD),该产品为全球首款3.0T & 1.5T MRI兼容ICD,也是国内首批3.0T MRI兼容ICD,消除了ICD植入后的磁共振扫描限制,为广大心律失常患者带来了3.0T全身无限制部位扫描的福音。

该患者为男性,48岁,既往诊断冠心病,陈旧性下壁、右室、正后壁心肌梗死。2023年5月7日因“突发心悸”至我院急诊科就诊,诊断为“室性心动过速”,经电复律后转律,经检查提示左室射血分数37%-42%,治疗后仍反复发作室性心动过速,诊断为:冠心病,陈旧性下壁、右室、正后壁心肌梗死,心律失常,室性心动过速,心功能II级。

患者猝死风险高,ICD指征明确,同时考虑到该名患者年轻,未来接受MRI检查诊断的需求较高,选择3.0T&1.5T MRI全身兼容单腔ICD。患者手术顺利,术后恢复良好,不仅拥有除颤器24h实时防护,也不必担心未来磁共振检查受限。

临床数据显示10年内52%-63%的ICD患者将有核磁共振(MRI)扫描需求,MRI也是卒中、背部疼痛,关节及软组织检查临床首选的成像方式。但是MRI扫描时强大的磁场环境会对起搏器和除颤器产生严重的影响,因此长期以来,磁共振检查是传统起搏器和除颤器植入术后病人的绝对禁区。同时与1.5T MRI相比,3.0T MRI扫描速度更快,图像质量更清晰,能够提供更丰富的诊断信息。此次玉溪市人民医院植入的3.0T MRI兼容除颤器,提供3.0T & 1.5T全身无限制部位扫描,为患者和医生提供了磁共振放心,疗效放心,全线放心的术后保障。
小知识:猝死与除颤器(ICD)
猝死(Sudden death,SD)是人类最严重亦是最可怕的疾病。WHO定义:“平素身体健康或貌似健康的患者,在出乎意料的短时间内,因自然疾病而突然死亡即为猝死”。我国每年有180万人死于猝死,平均每分钟有3~4人猝死,绝大部分的猝死患者根源于心脏,而心源性猝死的发生大多发生在院外,一般黄金抢救时间只有4分钟。遇到猝死,请立即拨打120,同时让患者平卧,为患者实施持续的心肺复苏操作,直到专业急救人员到来。
ICD是一个可以监视心脏节律的小型植入设备,通常只有火柴盒大小。它就像给心脏装备了一个24小时的“贴身保镖”,一旦监测到快速恶性心律失常、室颤,ICD就能自动识别转复或放电除颤,拯救患者生命。对于已经发生明确的心脏骤停事件或病人有严重的心脏病,到目前为止还没有发生心脏骤停,但属于发生心脏骤停的高危人群,植入ICD可以防患于未然。
通讯员:郭任 李玺臣 李燕萍 |